The Lauer Lab was awarded a grant from Action on Hearing Loss to study the effects of stress on tinnitus
Dr. Lauer will give a seminar at the University at Buffalo's Psychology Department on Oct 11
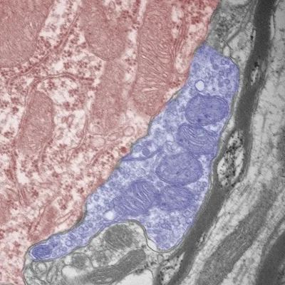
Central auditory system and hearing loss: from ear to brain and back
Dr. Lauer was awarded a grant from the Capita Foundation to support studies of efferent control of hearing
Check out the Capita website and the awesome research they support! http://www.capitafoundation.org
Dr. Lauer joins Scientific Advisory Board of Hyperacusis Research
Postdoc Kat Schrode was awarded an ARO travel award to attend the Midwinter Meeting in San Diego
Our paper with the Xu-Friedman lab is featured in Science360's Best of 2015
https://www.facebook.com/Science360/?fref=nf
We're grateful for this amazing gift to support our department's hearing loss research!
http://www.baltimoresun.com/health/blog/bal-hopkins-creates-center-on-hearing-loss-story.html
http://thedailyrecord.com/2015/10/14/maryland-hopkins-hearing-center-rubenstein/
http://hub.jhu.edu/2015/10/13/rubenstein-gift-to-department-of-otolaryngology
Dr. Lauer celebrates her Catalyst Award at Peabody Library
On Sept. 3, Dr. Lauer attended a reception for the awardees of the university's first co-hort of Catalyst and Discovery awardees. These grants provided by the university support exciting new research. Dr. Lauer's grant will be used to begin studies of cerebellar control of hearing.
http://hub.jhu.edu/at-work/2015/09/04/catalyst-discovery-celebration

